Skip to main navigation Skip to main content Skip to page footer

+++ Wir stellen ein: Fachtierärzte, Anfangsassistenten und Auszubildende zum/zur Tiermedizinischen Fachangestellten +++ Bewerben Sie sich jetzt gerne per E-Mail: personal@ftzberger.de  

Hüftgelenksdysplasie

1. Was ist die Hüftgelenkdysplasie?

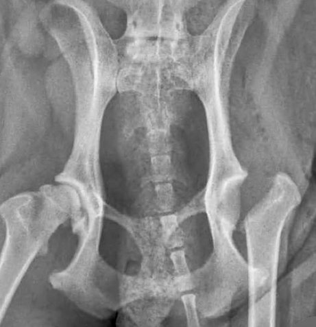
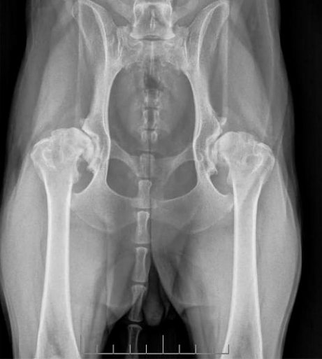
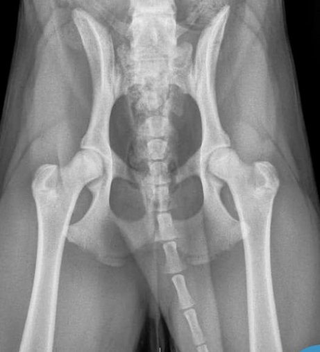
Die Hüftgelenkdysplasie ist die häufigste orthopädische Erkrankung beim Hund und ebenfalls eine sehr häufige bei der Katze. Sie führt durch Laxizität (Lockerheit) und anatomische Fehlentwicklungen zur Osteoarthrose und damit auch zu Schmerzen, Einschränkungen in der Belastung und der Lebensqualität. Die HD ist eine komplexe vererbbare Erkrankung, die durch eine genetische Vorbelastung, entsprechende individuelle- und Umweltfaktoren, wie z.B. der Gelenkflüssigkeit, der Muskelmasse, hormoneller Einflüsse, dem Gewicht, der Wachstumsgeschwindigkeit, der Ernährung und anderer zu klinischen Symptomen führt. Eine zentrale Rolle spielt die Laxizität der Hüftgelenke, die bereits bei Jungtieren nachweisbar ist.

2. Welche Behandlungsmethoden gibt es?

2.1 Konservative Behandlungsmöglichkeiten:

Die meisten Patienten können durch eine konservative, d.h. nichtoperative Behandlung wieder eine zufriedenstellende Lebensqualität erhalten. Insbesondere bei adulten Hunden und Katzen sollte diese Behandlungsmöglichkeit immer die erste Wahl sein. Sollte sie Fehlschlagen oder Nebenwirkungen von Medikamenten unzumutbar sein, kann eine chirurgische Behandlung in Betracht gezogen werden. Essentielle Bausteine stellen die Gewichtsreduktion, der Muskelaufbau, die orale Gabe von Schmerzmitteln, speziellen Fettsäuren und Nahrungsergänzungsmitteln, sowie die professionelle Physiotherapie dar.

2.2 chirurgische Behandlungsmöglichkeiten:

Für die Hüftgelenkdysplasie ist eine Vielzahl von Operationsmethoden verfügbar. Sie unterscheiden sich wesentlich in ihren Indikationen, Risiken und der Prognose. Da viele Methoden aufgrund fehlender Wirksamkeit oder der Entwicklung besserer Alternativen kaum noch durchgeführt werden, stellen wir hier nur die am häufigsten durchgeführten Methoden vor:

2.2.1 Juvenile pubische Symphysiodese (JPS)

Bei diesem Verfahren wird ein Teil der knorpeligen Verbindung der Beckenhälften am Beckenboden durch eine Hitzequelle am weiteren Wachstum des Schambeins gehindert, was zu einer seitlichen Rotationsbewegung der Beckenpfanne während des weiteren Wachstums führt. Es kann jedoch nur bei Hunden zwischen der 12. Und 20. Lebenswoche durchgeführt werden und ist insbesondere für Patienten mit gering- bis mittelgradigen Dysplasien bestimmt. 

2.2.2 Beckenschwenkosteotomien (TPO/DPO)

Bei den 2- bzw. 3-fachen Beckenschwenkosteotomien werden Knochenschnitte an bestimmten Stellen des Beckens ausgeführt, um die Beckenpfanne mithilfe einer speziellen Knochenplatte und Schrauben seitlich neu auszurichten und damit eine reduzierte Laxizität, verbesserte Kongruenz und Reduktion der fokalen Überlastung zu erzielen. Der Eingriff ist nicht bei allen Patienten möglich/effektiv und wird im Regelfall nur innerhalb des ersten Lebensjahres durchgeführt. 

2.2.3 Oberschenkelkopfresektion

Bei diesem Eingriff werden der Oberschenkelkopf und der Oberschenkelhals vom restlichen Oberschenkelknochen abgesetzt und dauerhaft entfernt. Dadurch wird eine schmerzhafte Reibung der knorpellosen Knochenoberflächen aneinander vermieden. Ebenso kann es nicht mehr zur Verlagerung des Oberschenkelkopfes entlang des Beckenpfannenrandes kommen. Es bildet sich eine gelenkartige neue Verbindung, die jedoch aufgrund fehlender Kongruenz und Abstützfunktion zu Gangbildabweichungen führt. Es kommt zu einer muskulären Kompensation des fehlenden Gelenks. Diese Technik führt meist zu befriedigenden Ergebnissen und wird insbesondere bei Katzen und leichten Hunderassen von weniger als 15kg durchgeführt. 

2.2.4 Denervation und Golddrahtimplantation

Für diese Verfahren fehlen umfangreiche hochqualitative und objektive Datenanalysen. Wir raten daher von diesen Verfahren ab. 

2.2.5 Das künstliche Hüftgelenk. Siehe Punkt 3 und ff.

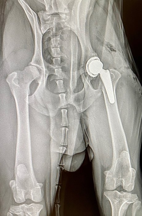
3. Was ist ein totaler Hüftgelenkersatz?

Bereits seit 1974 gibt es dieses vielfach erprobte und standardisierte Verfahren, bei dem ein fehlentwickeltes- oder stark geschädigtes Gelenk ersetzt wird. Alle Anteile des Gelenks werden hierbei durch synthetische/künstliche Materialen ersetzt. Dazu gehören die Beckenpfanne, der Oberschenkelkopf und der Oberschenkelhals. Aufgrund einer großen Vielfalt von anatomischen Gegebenheiten bei unseren tierischen Patienten, gibt es sehr unterschiedliche Implantattypen von denen manche in den Knochen geschraubt-, gehämmert oder einzementiert werden. Der Implantattyp wird bei der Voruntersuchung in jedem Fall einzeln festgelegt, um ein optimales Ergebnis zu erzielen.

4. Warum ist eine künstliche Hüfte notwendig?

Der Eingriff führt in 90-95% der Fälle zu einem sehr guten/guten Ergebnis und kann bereits nach wenigen Wochen zu einer langfristigen Schmerzfreiheit führen. Im Regelfall können Schmerzmittel und auch andere Medikamente abgesetzt und damit auch mögliche Nebenwirkungen verhindert werden. Hunde und Katzen erhalten ihre vollständige Mobilität und damit auch ihre Lebensqualität zurück.

5. Woher weiß ich, ob mein Hund einen vollständigen Hüftersatz benötigt?

Die HD kann grundsätzlich alle Hunde und Katzen aller Rassen betreffen. Häufig tritt sie bei den Rassen Deutscher Schäferhund, Labrador-/ Golden Retriever, Rottweiler und Berner Sennenhund auf. Klinische Beschwerden können sich sehr unterschiedlich zeigen. Viele Hunde haben Anzeichen chronischer Schmerzen, können schlecht aufstehen, Spielen nicht mehr intensiv oder gehen nur noch kurze Strecken spazieren. Katzen springen zudem ungern. Die Erkrankung verhält sich einheitlich progressiv, d.h. dass die Beschwerden im Laufe des Lebens stärker werden.

6. Gibt es Gründe, warum mein Hund keinen vollständigen Hüftersatz erhalten sollte?

Ja. Die meisten Hunde und Katzen können symptomatisch erfolgreich behandelt werden. Der vollständige Hüftgelenkersatz ist für ausgewachsene Patienten mit starken Beschwerden/deutlich reduzierter Lebensqualität bzw. fehlgeschlagener symptomatischer Therapie gedacht.

Jungtiere innerhalb des ersten Lebensjahres profitieren häufig von weniger invasiven oder gelenkerhaltenden Eingriffen wie der JPS oder der TPO/DPO (Kap.2.2).

Des Weiteren gibt es individuelle anatomische Faktoren, die das Komplikationsrisiko stark erhöhen oder den Einsatz anatomisch unmöglich machen.

7. Wie funktioniert der vollständige Hüftersatz?

Hinweis: Klick auf Bild führt zum YouTube Film

8. Sollte ich vor der Operation alle Medikamente meines Hundes absetzen?

Das kommt ganz darauf an, welche Medikamente der Patient/-in bekommt. Ob und wann Medikamente verabreicht oder abgesetzt werden sollten, wird bei der Voruntersuchung individuell besprochen.

9. Wird die Operation am selben Tag wie die Erstuntersuchung durchgeführt?

Nein. Es ist notwendig, dass die Voruntersuchung an einem separaten Termin stattfindet. Hier wird nicht nur die Indikation für den Eingriff gestellt, sondern auch der Gesamtgesundheitszustand anhand einer klinisch allgemeinen-, orthopädischen- und neurologischen Untersuchung ermittelt. Bitte achten Sie darauf, dass Ihr Hund nüchtern ist, da er für die Voruntersuchung ein leichtes Beruhigungsmittel erhält. Dies ist notwendig, um passende Röntgenbilder anzufertigen, die der Messung der passenden Implantate dienen. Zudem wird eine Blut – und eine Urinuntersuchung durchgeführt.

10. Wie sieht es mit der Genesung und Pflege meines Hundes nach der Operation aus?

Für die Rahabilitationszeit erhalten Sie einen gesonderten Plan von uns. In einem persönlichen Gespräch wird dieser bei der Entlassung erläutert. Grundsätzlich gilt, dass Ihr Hund nur auf rutschsicherem Untergrund geführt werden sollte. Eine Ruhighaltung von mindestens 12 Wochen ist unumgänglich. Insbesondere in den ersten Wochen ist ein Haltegurt zur Unterstützung erforderlich.

11. Welche Vorteile bietet ein totaler Hüftersatz?

Der Eingriff bietet eine dauerhafte Wiederherstellung der Mobilität. In 90-95% der Fälle können Hunde und Katzen wieder schmerzfrei Rennen, Spielen und Springen. Schmerzmittel sind i.d.R nicht mehr notwendig und medikamentenbedingte Nebenwirkungen werden vermieden. Bei beidseitig betroffenen Patienten ist in ca 1/3 aller eine beidseitige Endoprothese erforderlich.

12. Welche Risiken birgt ein totaler Hüftersatz?

Zum einen gibt es ein Risiko für Komplikationen während des Eingriffs, wie zB Reaktionen auf Medikamente oder Herz-und Kreislaufbeschwerden, Frakturen beim Einsetzen der Implantate oder Embolien durch Fett oder Zement. Zum anderen kann es nach dem Eingriff zu Luxationen (Auskugelung) des Hüftkopfes oder der Kniescheibe kommen. Auch Implantatverlagerungen oder Infektionen treten auf. Glücklicherweise ist das Auftreten schwerwiegender Komplikationen selten, sodass 90-95% der Patienten ein sehr gutes oder gutes Langzeitergebnis erhalten.

13. Ist ein totaler Hüftersatz dauerhaft?

Bei Hunden und Katzen ist der Hüftgelenkersatz unabhängig vom Alter bei der Implantation lebenslang. Ein Implantatwechsel ist i.d.R nicht notwendig.

14. Wie läuft der OP Tag ab? Muss ich im Vorfeld etwas beachten?

Am Morgen der OP sind bereits alle Voruntersuchungen abgeschlossen. Alle Messungen, Implantate und Untersuchungsergebnisse liegen vor. Sie kommen mit Ihrem Hund/Katze am Morgen des Op-Tages um 07:45Uhr in unser Fachzentrum und haben dann noch ein kurzes Gespräch mit Herrn Dr. Berger. Ihr Hund/Katze sollte 12 Stunden zuvor das letzte Mal gefressen haben. Die Wasseraufnahme ist durchgehend gestattet. Um 08:00Uhr beginnt die Patientenvorbereitung. Gegen Mittag erhalten Sie dann einen Anruf, bei dem eine kurze Besprechung über den OP- und Narkoseverlauf stattfinden. Alle Patienten bleiben bei uns in der stationären Betreuung bis zum nächsten Tag. Am Morgen des Folgetages findet eine Nachuntersuchung durch den Chirurgen statt, der Sie im Anschluss über den Zustand der Wunde, die Funktionalität der Gliedmaße und das Allgemeinbefinden informiert. Am Nachmittag ist die Entlassung mit einer ausführlichen Erläuterung aller wichtigen Details der kommenden Wochen geplant.

15. (Wieder-) Erlangung der vollen Mobilität

Ab der 12. Woche nach dem Eingriff kann eine deutliche Belastungssteigerung bis hin zur Normalität stattfinden.

16. Kann man eine HD vermeiden?

Nein. Die HD ist eine biphasische Erkrankung aus genetischer Prädisposition und Umwelteinflüssen. Der Grad der Arthroseentwicklung kann allerdings durch die Ernährung/das Körpergewicht, die Belastung u.a. in ihrer Ausprägung beeinflusst werden.